So, how can we tell each of them apart, what are their fundamental differences?
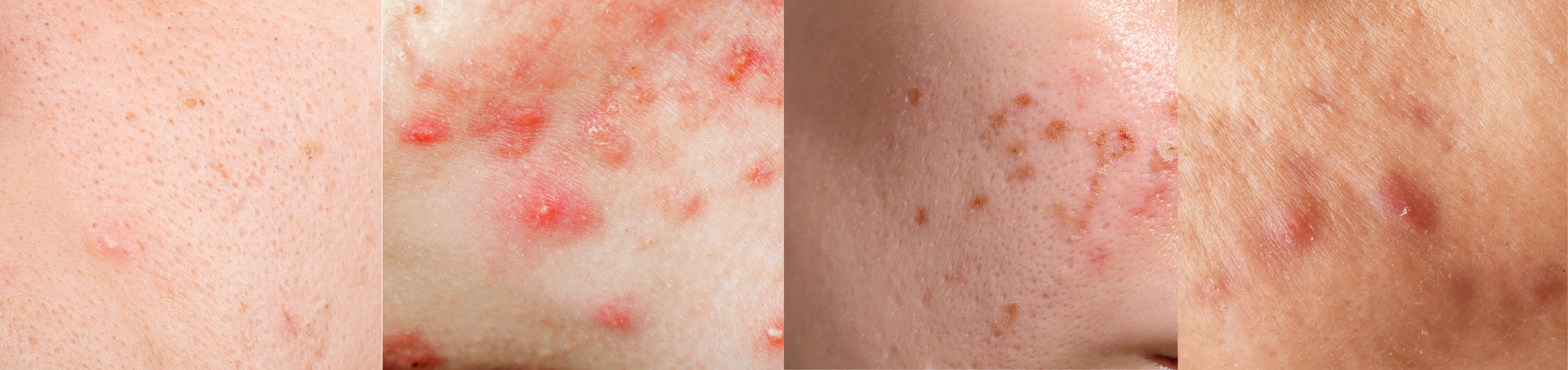
Blemishes
Generally flat, minimally raised from skin, discoloured, swelling, some tenderness and redness, no or slight infection.

Pimples
Small non-inflamed blemishes from blocked pores that occur close to the skin surface, are infected and may have pus.

Acne
Larger, deeper, numerous pimples with pus and inflammation that are widespread and persistent.

Breakouts
Skin flare-ups in areas of most oil glands on face, chest, back. Hair follicles fill with sebum, dead cells and bacteria causing redness, infection, inflammation and swelling.

Breakout Causes
Oil-base make-up and sunscreen, acne products that over-dry skin leading to excess oil production, dehydration, stress.
*Please note this is not medical advice and you should always seek such advice from medical professionals.